過蓋咬合(かがいこうごう・ディープバイト)についての症例1|deepbite-01(10301214)
年齢: 小学生(9歳2か月)
症状: 過蓋咬合(ディープバイト)とは
装置: マウスピース(機能的装置)
併用: 筋機能療法(MFT)
過蓋咬合 症例 Case 1
9歳2ヶ月から開始
主訴:前歯の噛み合わせが深くて、奥歯の歯が隠れてしまっている。歯ぎしりもひどいのでそれも含めて改善したい
診断名:過蓋咬合(かがいこうごう)
治療装置:過蓋咬合専用のマウスピース+筋機能療法を併用し治療
(開始後0ヶ月)噛み合わせの深さからくる咬合圧の強さと歯ぎしりを心配されていたため、歯ぎしりから歯を守りつつ、噛み合わせの深さを改善するためのマウスピースを使用開始。
いくつか方法がある中で、今回は保護者と患児の希望も含めて、過蓋咬合専用のマウスピースと、筋機能療法を併用し、顎の噛み合わせの深さを改善する方向で進めるプランで合意した。
▼

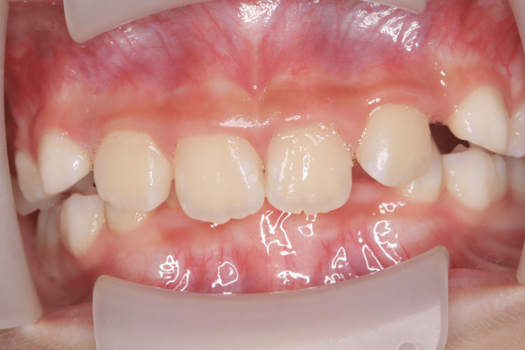
過蓋咬合
(9歳2ヶ月)
開始後0ヶ月
▼

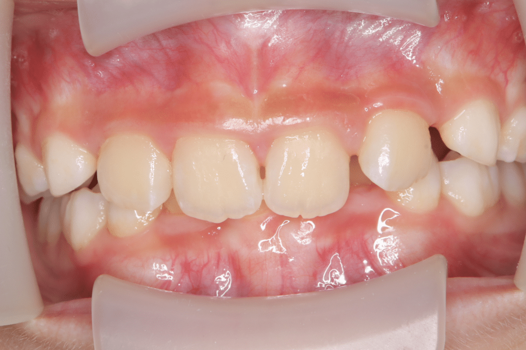
過蓋咬合
(9歳3ヶ月)
開始後1ヶ月
▼
(開始後2ヶ月目)このあたりからマウスピース使用時間は起きてる時60分が可能となった
▼

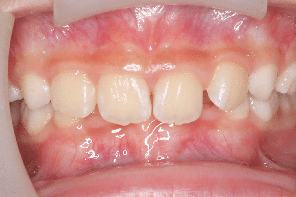
過蓋咬合
(9歳4ヶ月)
開始後2ヶ月
▼
(開始後3ヶ月目)このあたりからマウスピース使用時間は起きてる時最大で120分が可能となった。目標は「起きている時60分以上+就寝時も使用」とし、筋機能トレーニングも併用開始。
▼

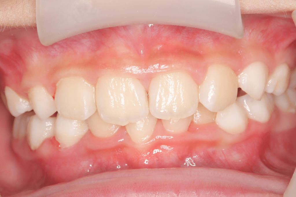
過蓋咬合
(9歳5ヶ月)
開始後3ヶ月
▼

過蓋咬合
(9歳6ヶ月)
開始後4ヶ月
▼

過蓋咬合
(9歳7ヶ月)
開始後5ヶ月
▼

過蓋咬合
(9歳8ヶ月)
開始後6ヶ月
▼

過蓋咬合
(9歳9ヶ月)
開始後7ヶ月
▼

過蓋咬合
(9歳10ヶ月)
開始後8ヶ月
▼
過蓋咬合(かがいこうごう)を改善

▶

【まとめ】
症状:過蓋咬合(かがいこうごう)
期間:8か月
開始年齢:(9歳2ヶ月)~
終了年齢:(9歳10ヶ月)(過蓋咬合は改善したが、叢生がまだ残っているため、今後は叢生の治療を開始予定)
費用の概算:70〜100万
注意事項:
・掲載された症例は一例であり、全ての患者に同様の結果を保証するものではありません
・症例ごとに治療方法や結果が異なります
・治療効果には個人差があり、装置の使用時間で効果が変わります
※その他注意事項は小児矯正のリスク・副作用と注意点に記載
よくある質問(過蓋咬合の症例:マウスピース+筋機能療法)
「過蓋咬合(ディープバイト)」とは?どんな問題が起こりますか?
上の前歯が下の前歯を深く覆う噛み合わせで、歯ぐきや前歯の摩耗、咀嚼・発音・見た目への影響が出ることがあります。基礎知識はディープバイト(過蓋咬合)とは?や、イラスト解説の子どものディープバイト(過蓋咬合)|影響と治療時期をご覧ください。
9歳2ヶ月からの開始は早い?遅い?
小学校中〜高学年は「混合歯列期」で、顎の成長力を治療に活かしやすい時期です。
「過蓋咬合(ディープバイト)」は、9歳前後で治療しやすい不正咬合の一つではありますが、
個人差もあるため、年齢だけでなく歯の交換状況を確認して適切な開始時期を判断してから開始します。
目安は6〜12歳の矯正情報(小学生)をご参照ください。
なぜマウスピースと筋機能療法(MFT)を併用するの?
過蓋咬合の背景に、嚥下のくせ・舌位・口呼吸など機能的要因があると再発リスクが高まります。マウスピースで噛み合わせを整えつつ、MFTで口腔機能を正しくすることで結果の安定をめざします。詳しくは筋機能トレーニング(MFT)や子どもの舌の位置が低いとどう影響?をご覧ください。
マウスピースは「夜だけ」でも効果が出ますか?装着時間の目安は?
装置の種類と目的により装着時間は異なります。
一般に「夜のみ」では不足することが多く、指示時間の順守が鍵です。
考え方のポイントは子供のマウスピース矯正|寝る時だけでも効果あり?を参考にしてください(個別の指示は当院でお伝えします)。
うちの子は噛みにくさや食べづらさがあります。矯正で良くなりますか?
噛み切りにくい、丸のみしがち、食事が遅い等は噛み合わせ由来のことがあります。
姿勢や口呼吸は過蓋咬合に影響しますか?
猫背・口呼吸・唇の緊張など全身的・機能的な要因が噛み合わせに影響することがあります。ご家庭での気づきには子どもの姿勢と歯並びやお口ポカン(口呼吸)の対策をご覧ください。
マウスピース以外の選択肢は?(他装置との違い)
症例によりワイヤー矯正や機能的装置の併用が必要なことがあります(最適解は検査後にご提案します)。
痛みや違和感はどのくらい?学校生活は大丈夫?
装着開始直後に圧痛・違和感が出ても、多くは数日で慣れます。症状が出やすいタイミングと対処は小児矯正の痛みと対処法、治療に伴う一般的な留意点は小児矯正のリスク・副作用をご覧ください。
歯ぎしりが強いタイプでも治療できますか?
咬耗が強い場合は管理と併行して進めます。就寝時の保護装置が必要になることもあります。参考:ナイトガード(夜用マウスピース)が必要なケース。
治療期間と通院間隔の目安は?
過蓋咬合の深さ・成長量・装着協力度・MFTの定着で変動します。一般的には4〜8週ごとに経過を確認し、段階的にステップアップします(個別の目安は診断時にご説明)。
保定(リテーナー)は必要?後戻りはしませんか?
配列後は歯列が安定するまで保定装置(リテーナー)で維持し、MFTの継続で機能面を定着させます。基本方針は後戻りの原因と防ぎ方をご確認ください。
もし装置を紛失・破損したら?
自己判断で中断せず、すぐに当院へご連絡ください。よくある事例と対処は小児矯正のトラブル対処ガイドにまとめています。
費用や支払い方法は?医療費控除は使えますか?
費用の目安は料金プランをご確認ください。当院はクレジットカードによるオンライン決済のみで、分割払いには対応していません。医療費控除の基本は小児矯正は医療費控除の対象?をご参照ください。
まずはどう進めれば良い?(初診の流れ)
当院は初診の方は全員「電話カウンセリング」必須です。予約日時に医院から発信専用番号でお電話し、気になる点を伺って初回来院日を決めます。手順ははじめての方へ|初診の流れ、ご予約は予約・お問い合わせからどうぞ。通院圏の方はアクセスをご確認ください。
他の症例も見たい
経過を時系列に確認したい方は小児矯正の症例一覧をご覧ください。
※本症例は一例であり、結果・期間は個人差があります。最終的な治療方針は、検査・診断後にご提案します(初診の流れ)。
